熱線:021-66110810,66110819
手機:13564362870

熱線:021-66110810,66110819
手機:13564362870
體內癌癥饑餓療法
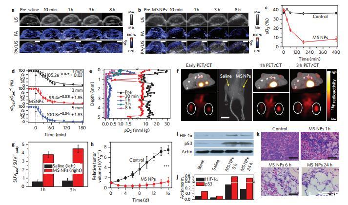
圖5 MS NP介導的體內腫瘤饑餓療法。
然后,在雙側4T1異種移植腫瘤小鼠身上評估了MS NPs作為體內DOA用于腫瘤饑餓療法的潛在資格,在右側腫瘤內注射MS NPs,在左側腫瘤內注射生理鹽水作為對照。通過多波長光聲(PA)和B型超聲(US)圖像的聯合注冊,實時定量監測瘤內血氧飽和度(sO2)的變化,即血紅蛋白結合氧的水平。對照組的sO2值幾乎保持不變,約為37%,與注射前持平(圖5a,c),這證實了4T1實體瘤在此期間的輕微缺氧性質,以及生理鹽水本身對瘤內sO2的影響微乎其微。值得注意的是,從注射MS NPs十分鐘后開始,sO2就急劇下降,這種下降趨勢一直持續到三小時,瘤內血氧幾乎被完全清除(圖5b、c),這表明HbO2被有效脫氧。同時,金標準氧微電極顯示,腫瘤組織中溶解的游離氧也同樣被徹底清除(圖5d、e)。瘤內溶解氧原始微輪廓的明顯波動表明,實體瘤中的氧分布是不均勻的,而在注射MSNP后,這種不均勻性被大幅消除,達到了持久的零氧張力。從理論上講,細胞生長的有利微環境主要依賴于血紅蛋白結合氧和組織內溶解氧之間的平衡,因此腫瘤內這兩種氧的完全耗竭將不可避免地導致嚴重缺氧以及隨后的細胞壞死和凋亡。
此外,還進行了體內18F-MISOPET/CT成像,以評估瘤內缺氧水平和非腫瘤區域的潛在誤缺氧。與PA/US結果一致,早期PET/CT圖像顯示治療前的缺氧水平相當,這證實了雙側腫瘤在這一階段的輕微缺氧性質(圖5f)。盡管18F-MISO放射性在體內不可避免地會發生核衰變和新陳代謝損失,但在注射MSNP一小時后的PET/CT圖像中,仍觀察到18F-MISO攝取大大增強(圖5f、g)。更令人興奮的是,在三小時后的PET/CT圖像中,發現缺氧區域覆蓋了整個腫瘤區域,而腫瘤周圍的正常組織中沒有發現任何新產生的缺氧區域。作為陰性對照,皮下注射MS NPs后,正常組織的血液sO2和氧張力沒有明顯變化,這進一步證實了MS NPs在體內的酸性敏感性和特異性,從而消除了對正常pH值的非癌組織的潛在副作用的擔憂。
令人興奮的是,與僅注射生理鹽水的對照組相比,DOA饑餓的腫瘤生長速度要慢得多,這證實了瘤體內(i.t.)給藥MS NPs是一種高效的腫瘤生長抑制劑,而且在主要器官組織中檢測不到毒性(圖5h)。重要的是,瘤內過氧化氫也同時被消耗掉了。此外,與廣泛報道的缺氧誘導p53積累的情況一致,通過這種外源脫氧,HIF-1α也被發現顯著上調,從而使腫瘤中的p53凋亡通路恢復活力(圖5i、j),進而導致癌細胞快速凋亡。不出所料,除了體內顯示的直接缺氧誘導的線粒體損傷外,病理血沉和伊紅(H&E)染色檢測也顯示,DOA饑餓的腫瘤在一小時后出現明顯的纖維化、壞死和凋亡,這種損傷在24小時后變得更加嚴重(圖5k)。
MS NPs在體內脫氧過程中的演變
圖6 MS NPs在體內癌癥饑餓治療過程中的演變。
為深入理解這種DOA誘導的癌癥饑餓療法,我們進一步研究了腫瘤內MS納米顆粒的時間動態演變。與體外實驗結果一致,硅元素在腫瘤中被滯留并逐漸降解,而鎂元素則快速排出(圖6a)。通過激光解吸電離質譜(LD-IMS)掃描的硅鎂比分布圖顯示了腫瘤內硅鎂的相對分布(圖6b)。在部分注射MS納米顆粒0.5小時后,觀察到硅鎂比約為0.8的均勻分布,證實了其在高腫瘤間質液壓力下仍能快速滲透44。隨后,富含硅的微團塊呈現色差特征并逐漸增大,同時硅鎂比整體升高(補充圖25)。由于腫瘤酸性存在高度異質性45,硅鎂比較高的區域被視為酸性更強的區域。值得慶幸的是,這種非均勻酸性分布并未導致氧耗盡的異質性,這一點從全腫瘤范圍的顯著耗氧和缺氧生成現象中得到印證(圖5b,d–f)。
從更微觀的角度來看,時間序列TEM圖像和電子能損耗譜(EELS)顯示,瘤內Mg2Si晶體納米顆粒逐步轉變為無定形微片。這種轉變伴隨著顯著的氧捕獲和鎂消除,更明顯的是,硅的價態從-4急劇逆轉為+4(圖6c-i)。根據29Si固態魔角旋轉核磁共振(MASNMR)結果(圖6j),發現最初的脫氧產物是不飽和HxSi(OSi)4-x物種,即包裹結晶MSNP的無定形物質(圖6d)。正如定義明確的Q2和Q3物種所示,這些中間產物被進一步氧化并凝結成富含硅醇基團的SiO2微片。這一發現顯然證實了組織內SiO2微片形成的溫和、逐步脫水-縮合機制,從而使這些動態生成的聚集體成為有效的腫瘤毛細血管阻斷劑,阻止紅細胞的循環。
此外,還使用Magnevist作為T1對比劑,對雙側4T1腫瘤小鼠進行快速掃描磁共振成像(MRI),以估計瘤內血管的通透性。注射了生理鹽水的左側腫瘤在五分鐘內迅速變亮,相比之下,注射了MSNP的右側腫瘤的信號增強要慢得多(圖6k、l),這證實了原位形成的二氧化硅微片大大降低了腫瘤血管的通透性。血管通透性在很大程度上受到抑制,阻礙了血氧的進一步供應,從而導致瘤內長期缺氧。此外,注射外源二氧化硅微片后,發現沒有血栓形成現象,也沒有觀察到明顯的腫瘤生長抑制,因為它們更不可能滲透到毛細血管中。
更有趣的是,這些緩慢凝結的二氧化硅微片被發現逐漸降解成小分子硅酸,在晚期具有可識別的Q1和Q2種類(圖6j),這也是它們在腫瘤中大約七天內完全消失的原因(圖6a。幸運的是,在此之后,腫瘤仍然保持著嚴重的缺氧狀態,這可能是由于缺氧引起的腫瘤血管損傷,主要是瘤內血管內皮細胞的凋亡/壞死。
總之,我們展示了一項概念驗證研究,即PVP改性Mg2Si納米粒子可用作饑餓腫瘤的DOA。這些納米粒子能在酸性腫瘤微環境中有效消耗瘤內氧。此外,無定形的二氧化硅微沉積物副產品可以阻塞腫瘤毛細血管,在降解前阻止再吸氧。在臨床轉化方面,對靜脈注射進行了評估。盡管納米粒子具有生物相容性,但這種注射途徑只能輕微改善腫瘤缺氧,因此抑制腫瘤的效果較差。我們的研究結果表明,除了傳統的抗血管生成療法外,使用納米氧化亞氮進行腫瘤內脫氧也是一種很有前景的癌癥饑餓療法。還需要進一步研究納米粒子的表面修飾,以實現更長的血管循環,從而實現有針對性的腫瘤積聚。
相關新聞