熱線:021-66110810,66110819
手機:13564362870

熱線:021-66110810,66110819
手機:13564362870
結果
表1基本特征
瘦小鼠。在瘦小鼠中,常氧組暴露前的體重低于所有缺氧組(表1)。最初的體重差異是有意造成的,因為預計缺氧組的體重下降幅度更大。各組小鼠死亡時的體重相似,只有持續缺氧組小鼠的體重高于其他組。與常氧相比,在所有缺氧條件下小鼠的體重都明顯下降,其中間歇性缺氧條件下小鼠的體重下降幅度最大。
圖1 A:瘦小鼠和肥胖小鼠在正常缺氧和缺氧條件下通過脈搏血氧儀測量的血氧飽和度(SpO2)和組織氧分壓(PtiO2)的平均分布。紅色曲線表示常氧組,紫色曲線表示不頻繁的間歇性缺氧(12次/小時;IH12),藍色曲線表示頻繁的間歇性缺氧(60次/小時;IH60),綠色曲線表示持續缺氧(SH)。每種方案的SpO2和PtiO2值均歸一化為100%(所用時間百分比)。B:瘦小鼠頻繁間歇性缺氧時的示蹤示例。上部曲線顯示動脈血中的SpO2,下部曲線顯示同一時間不同組織中的PtiO2。
表2動脈血和組織中的平均氧含量
表3間歇性缺氧時動脈血和組織中氧含量的變化
血液和所有器官的平均氧含量在常氧狀態下最高,從常氧狀態到不頻繁的間歇性缺氧(12次/小時)、頻繁的間歇性缺氧(60次/小時)逐漸降低,持續缺氧最低(P<0.001,圖1A,表2)。對不同組織的PtiO2進行比較后發現,肝臟的平均PtiO2明顯高于肌肉和脂肪(P<0.001)。在頻繁的間歇性缺氧過程中,血液和肝臟中的PtiO2出現高振幅波動,肌肉中的波動較小。與SpO2相比,頻繁間歇缺氧期間肌肉和附睪脂肪中PtiO2的變異性明顯較小。在頻繁間歇缺氧期間,附睪脂肪中PtiO2的變異性最小(圖1,表3)。
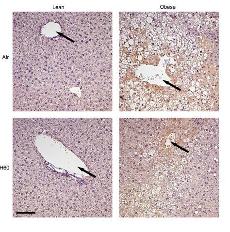
圖2用Hypoxyprobe(pimonidazole)對肝臟進行免疫組織染色,并用蘇木精進行反染。常氧組(空氣)和IH60組瘦小鼠和肥胖鼠的免疫組織染色具有代表性。原始放大倍數:3200。缺氧區域染成棕色(pimonidazole)。箭頭標記肝靜脈。比例尺為50毫米。
低氧探針-1(鹽酸咪唑)用于評估不同組織的缺氧情況。注射后,低氧探針-1會分布到所有組織,并僅在PtiO2小于10托的細胞中與含硫醇的蛋白質形成加合物。在免疫組織染色(圖2)或免疫印跡(未顯示)中,無論缺氧方案或對照條件如何,瘦小鼠均未顯示出組織缺氧的跡象。
圖3不同缺氧方案和禁食12小時后的胰島素抵抗指數。A:葡萄糖。B:胰島素C:瘦素D:脂聯素。數值為平均值±SE。顯示的是常氧(空氣)、IH12、IH60和SH的數值。*與瘦空氣組相比,P<0.05。?與肥胖空氣組相比,P<0.05。
與常缺氧相比,所有三個缺氧組的空腹血糖都明顯增加了~20mg/dl,但血漿胰島素沒有變化(圖3A和B)。缺氧明顯增加了血漿瘦素水平,尤其是在持續缺氧組(44倍,圖3C)。與常氧相比,任何缺氧條件下的脂肪連素都沒有明顯變化(圖3D)。血漿總膽固醇在所有低氧條件下都有所增加,但只有間歇性低氧12次/小時與常氧有顯著差異(表1)。
圖4通過丙二醛(MDA)水平測量不同缺氧方案后的脂質過氧化反應。A:肝臟。B:肌肉C:附睪脂肪。數值為平均值±SE。數值顯示的是常氧(空氣)、IH12、IH60和SH的數值。*與瘦空氣組相比,P<0.05。?與肥胖空氣組相比,P<0.05。
在兩種間歇缺氧方案中,血漿甘油三酯都有所下降。間歇性缺氧60次/小時會明顯增加肝臟的脂質過氧化反應,但不會增加肌肉或脂肪的脂質過氧化反應(圖4)。
圖5不同缺氧方案后體內外脂肪組織分泌腫瘤壞死因子-a(TNF-a)的情況。數值為平均值±SE。顯示的是常氧(空氣)、IH12、IH60和SH的數值。*P<0.05與瘦空氣組相比。
與常氧相比,頻繁間歇缺氧組脂肪組織分泌的TNF-a增加了兩倍多(圖5)。
圖6肝組織中TNF-a的實時PCR檢測結果。數值為平均值±SE。TNF-a水平以mRNA表達水平表示,與18S核糖體RNA濃度進行歸一化,然后以與瘦空氣組的比率表示。
缺氧不影響瘦小鼠肝臟中TNF-a的表達(圖6)。
肥胖小鼠。由于預計小鼠在缺氧暴露期間體重會下降,因此有意將肥胖小鼠分組,以提高兩組間歇性缺氧暴露前的體重(表1)。暴露后,所有暴露組的體重相似。無論采用哪種缺氧方案,缺氧小鼠的體重都比對照組小鼠減輕得多。絕對體重損失與瘦小鼠相似。
在常氧條件下,肥胖小鼠的SpO2有低于瘦小鼠的趨勢,盡管差異非常小(表2)。與瘦小鼠相比,肥胖動物在所有缺氧暴露條件下的平均SpO2水平都較低。值得注意的是,肥胖小鼠在基線條件下的肝臟PtiO2比瘦小動物低,但在缺氧暴露期間卻不低。無論實驗條件如何,兩組肌肉和脂肪中的PtiO2都相似。正如預期的那樣,血液和所有器官中的平均氧含量在常氧狀態下最高,并從常氧狀態到不頻繁的間歇性缺氧、頻繁的間歇性缺氧和持續缺氧逐漸下降(P<0.001)。與瘦小鼠一樣,對不同組織的PtiO2進行比較后發現,肝臟的平均PtiO2明顯高于肌肉和脂肪(P<0.001)。與瘦小鼠類似,頻繁的間歇性缺氧會引起血液、肝臟和肌肉中氧含量的高振幅波動,但不會引起附睪脂肪組織中氧含量的高振幅波動(表3)。與SpO2相比,所有組織在頻繁間歇缺氧期間的平均變異性都明顯較小。與瘦小鼠不同的是,這些差異在不頻繁的間歇性缺氧時也很明顯。與瘦小鼠一樣,在頻繁間歇性缺氧期間,附睪脂肪的變異性最低。在肥胖小鼠的肝臟中,Hypoxyprobe-1染色顯示了缺氧的證據,主要在肝靜脈周圍區域,在包括常氧在內的所有條件下都存在(圖2)。無論在何種條件下,瘦小鼠和肥胖小鼠肌肉和脂肪中的Hypoxyprobe-1染色結果均為陰性(未顯示)。
不出所料,在所有實驗條件下,肥胖小鼠的空腹血糖都高于瘦小鼠。與瘦小鼠一樣,急性缺氧也會增加空腹血糖(圖3A)。頻繁的間歇性缺氧和持續性缺氧會使空腹胰島素水平升高,而瘦小鼠不會出現這種情況(圖3B)。與瘦小鼠的基線相比,肥胖小鼠的瘦素水平增加了100倍以上,而急性缺氧不會改變瘦素水平(圖3C)。血漿脂肪連素水平因肥胖而降低,但急性缺氧對其無明顯影響(圖3D)。在所有實驗條件下,肥胖小鼠的血漿總膽固醇和甘油三酯水平均高于瘦小鼠。缺氧方案不影響膽固醇水平,而持續缺氧組甘油三酯水平有所下降(表1)。所有器官的脂質過氧化與瘦小鼠相似。與正常缺氧和不頻繁的間歇性缺氧相比,頻繁間歇性缺氧時脂肪組織中丙二醛水平輕度升高(圖4)。與基線條件下的瘦小鼠相比,肥胖小鼠脂肪組織的TNF-a分泌率增加了10倍(圖5),但急性缺氧沒有進一步影響。與基線條件下的瘦小鼠相比,肥胖小鼠的TNF-a肝臟mRNA水平增加了4到6倍(圖6),急性缺氧對其沒有進一步影響。
相關新聞