熱線:021-66110810,66110819
手機:13564362870

熱線:021-66110810,66110819
手機:13564362870
圖3游離AB原藥(A)和AB MSN納米藥物(B、C)的酸反應H2釋放行為。
在四種不同的磷酸鹽緩沖溶液(pH=5.0、5.8、6.8、7.4)中測試了AB釋放H2的酸反應分解行為。從圖3A可以看出,游離AB在酸性磷酸鹽緩沖溶液中很快分解成H2,而且磷酸鹽緩沖溶液的酸度越高,H2釋放越快。即使在pH=6.8的微酸性環境(模擬瘤內酸性微環境)中,H2的釋放速率也高達19.8μM/h,反映了高酸反應性。然而,在pH=7.4的PBS(模擬正常組織環境)中,游離AB沒有發生明顯的分解。AB MSN納米藥物也具有類似的AB分解和H2釋放的酸反應性(圖3B),這使得該納米藥物能夠實現瘤內酸性微環境響應性H2釋放,從而實現高效氫治療。此外,值得注意的是,與游離AB相比,MSN中AB的分解/釋放速率大大降低。PBS酸度越低,H2釋放率的降低幅度越大(圖3A和C)。這應該是由于上文提到的MSN與AB之間的氫鍵吸引力起到了穩定作用。這種分解行為的減輕為持續釋放H2(>2天)帶來了好處,非常有利于長期氫氣治療。
圖4用MB+Pt探針測定三種不同濃度(25、50和100g/mL)的AB MSN納米藥物的細胞內吸收(A)。
使用亞甲基藍(MB)加膠體鉑納米粒子(Pt)的典型氫探針進一步研究了AB MSN納米藥物的細胞內H2釋放情況。首先,圖4A中用紅色熒光RITC(羅丹明B異硫氰酸酯)染料標記MSN的共聚焦觀察結果證實,AB MSN納米藥物在很大程度上可被癌細胞吸收。定性結果如圖4C所示,隨著培養時間的延長,細胞的藍色逐漸變淡,這表明在鉑的催化作用下,釋放的H2還原了MB,從而增加了細胞中H2的釋放量。使用微孔板閱讀器記錄664納米波長處甲基溴特征吸收峰的吸光度,然后根據繪制的標準曲線轉換成H2濃度,進一步收集定量數據(圖S3)。如圖4B所示,AB MSN納米藥物在細胞內逐漸釋放出H2,細胞內H2釋放率取決于AB MSN納米藥物的濃度。納米藥物濃度越高,細胞內的H2釋放越快。AB MSN納米藥物在細胞內釋放H2的現象得到了證實,這為進一步實施氫療法提供了可能。
圖4氫氣釋放(B-D):定量數據(B),以及100g/mL納米藥物細胞內氫氣釋放時藍色減少的定性觀察(C)。用基于DCFH-DA探針的ROS檢測試劑盒檢測AB MSN納米藥物誘導的HeLa細胞內ROS減少情況(D)。
酸反應性氫氣釋放行為表明,所構建的AB MSN納米藥物尤其適用于癌癥治療,因為瘤內微環境通常呈微酸性(pH=6.2-6.8)。Ohta等人發現,施用氫氣可選擇性地減少細胞毒性活性氧(ROS),如羥自由基,而羥自由基通常在腫瘤細胞中過度表達。氫氣治療癌癥的一個公認機制是細胞內氫氣的抗氧化能力。因此,我們研究了AB MSN納米藥物對細胞內ROS水平的影響,以檢測其抗癌潛力。我們使用基于DCFH-DA探針的ROS檢測試劑盒來檢測納米藥物治療前后HeLa細胞內的ROS水平。從圖4D中可以發現,AB MSN納米藥物的使用使HeLa細胞中的細胞內ROS水平顯著下降,并且隨著納米藥物濃度的增加,細胞內ROS水平的下降幅度越來越大。這應歸功于納米藥物在細胞內釋放的H2(圖4)。這些關于酸反應性H2釋放和細胞內ROS降低的積極結果使氫治療癌癥成為可能。
圖5游離原藥AB、載體MSN、分解產物B(OH)2ONH4和AB MSN納米藥物對HeLa(A)、B16-F10(B)和U87癌細胞(C)以及Hek-293T正常細胞(D)的細胞毒性比較。
使用三種典型的癌癥細胞系(HeLa、B16-F10和U87細胞)和一種正常細胞系(Hek-293T細胞)進一步研究了AB MSN納米藥物的體外癌癥治療效果。從圖5A-D可以看出,在較寬的濃度范圍(0-100g/mL)內,載體MSN和藥物分解產物B(OH)2ONH4對所研究的任何細胞都沒有明顯的細胞毒性,而游離AB原藥在相對較高的藥物濃度(≥50g/mL)下表現出普遍的細胞毒性,這可能是由于如上所述游離AB在細胞內過快釋放H2所致(圖3A)。相比之下,相同濃度的AB MSN納米藥物對三種癌細胞的細胞毒性都明顯增強(圖5A-C),但對正常細胞的細胞毒性卻有所降低(圖5D)。納米藥物的這種選擇性抗癌特性應源于高效的細胞內藥物遞送和H2的長期持續釋放(圖3B)。納米藥物的細胞內藥物保護遞送避免了AB分解出細胞,從而增加了細胞內的H2含量,提高了氫氣治療的療效。同時,納米藥物的H2持續釋放消除了過快釋放對正常細胞的負面影響。此外,外源H2還能發揮調節細胞內氧化還原水平的作用,包括減少癌細胞中高表達的ROS(圖4),從而殺死癌細胞。AB MSN納米藥物具有選擇性抗癌特性,這一令人興奮的發現鼓勵我們開展體內癌癥治療實驗。
圖6使用AB MSN納米藥物對4T1腫瘤小鼠進行治療的結果:注射PBS對照組、游離原藥AB、載體MSN、分解產物B(OH)2ONH4和相同摩爾濃度的AB MSN納米藥物(AB稀釋10倍除外)后腫瘤體積的變化(A),治療20天后腫瘤重量的比較(B),小鼠體重隨時間的變化(C),以及小鼠生存能力隨時間的變化(D)。
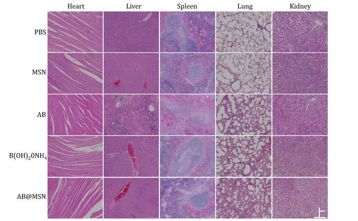
此外,研究人員還利用攜帶HeLa腫瘤的Balb/c裸鼠模型研究了AB MSN納米藥物的體內癌癥治療效果。小鼠被隨機分為五組,即空白對照組(PBS)、三個對照組(MSN、AB、B(OH)2ONH4)和一個治療組(AB MSN)。從圖6A和S4可以看出,注射與AB MSN納米藥物相同摩爾濃度的MSN和B(OH)2ONH4(16.5毫克/毫升,PBS,100升)基本上不能明顯抑制腫瘤生長,而相同摩爾濃度的游離AB會導致注射小鼠急性死亡,這與體外實驗結果一致。因此,將AB稀釋10倍作為AB對照組。盡管AB組顯示出抑制腫瘤的效果,但游離AB也會導致小鼠持續死亡(注射后8天完全死亡),其毒性太強,與體外情況類似(圖6D)。相比之下,未稀釋的AB MSN組在注射后20天內未造成小鼠死亡(圖6D),這說明基于MSN的納米藥物制劑的保護作用降低了毒性。此外,在20天的治療過程中,AB MSN組能很好地抑制腫瘤的生長(圖6A和S4)。注射20天后,提取治療小鼠的所有腫瘤進行對比,進一步證實了AB MSN納米藥物的顯著治療效果(圖6B)。在整個治療過程中,不同治療組小鼠的體重幾乎沒有變化(圖6C)。此外,所有小鼠在治療20天后均被人道處死,取其主要臟器(心、肝、脾、肺、腎)進行H&E染色組織病理學評價,發現所有治療組均未對主要臟器造成明顯損傷(圖7),反映了AB MSN無明顯的系統毒性。簡而言之,AB MSN納米藥物在體內表現出了與體外實驗一致的高效、低毒的腫瘤治療效果。
圖7用PBS對照組、載體MSN、游離原藥AB、分解產物B(OH)2ONH4,以及相同濃度的AB MSN納米藥物(AB稀釋10倍除外)治療20天后,主要器官(心、肝、脾、肺和腎)的HE染色結果。