熱線:021-66110810,66110819
手機:13564362870

熱線:021-66110810,66110819
手機:13564362870
背景介紹:內源性氣體信號分子H2S主要由l-半胱氨酸通過酶的活性產生,包括在廣譜組織中的胱硫醚-γ-裂解酶(CSE)和胱硫醚-β-合酶(CBS)。內源性H2S參與許多生理和病理生理過程,例如血管、葡萄糖穩態、神經活動、血管張力,以及腦、肝、肺、腎和心臟的缺血再灌注(I/R)損傷。H2S供體化合物通過抑制炎癥反應顯著減輕I/R和LPS誘導的急性肺損傷(ALI)。H2S還抑制高氧誘導的ALI(HALI)肺組織中活性氧的產生。然而,迄今為止,H2S在肺中的生理功能在很大程度上仍然未知。盡管已經有研究證明H2S在小鼠肺血管發育和肺泡形成中起關鍵作用。但是成年小鼠缺乏H2S是否會導致肺功能障礙還沒有進行完全的研究。研究人員研究了Cse-/-基因敲除小鼠的動脈血氧飽和度(SaO2)。研究發現SaO2在這些小鼠中減少,這通過給予H2S供體化合物GYY4137逆轉。發現降低的SaO2與肺部炎癥和氧化應激水平升高有關。此外證明了GYY4137改善了野生型(WT)小鼠中由10%缺氧引起的SaO2降低,并抑制了肺組織中的炎癥反應和氧化應激。
Unisense微呼吸系統的應用
使用與Unisense PA 2000放大器耦合的小型化H2S微呼吸電極。確定肺組織中H2S產生的實時動力學。將肺組織勻漿,然后將勻漿在4°C下以5,000 rpm離心5分鐘以去除任何剩余的組織塊。將37°C的1毫升分析緩沖液(PBS中的1mM L-半胱氨酸和2mM吡哆醛-5‘-磷酸鹽)加入到接地良好的法拉第籠內的溫控微呼吸瓶中(Unisense)。避免自發的H2S氧化,氮氣用于對呼吸室中的分析緩沖液進行脫氧。硫化氫傳感器信號穩定后,將50μl肺蛋白溶液(10-20mg)注入腔室,實時記錄H2S的產生過程。H2S生成速率在每個跡線的初始最陡坡處確定。
實驗結果
研究表明,CSE缺乏會導致許多器官的SaO2水平降低和組織缺氧,而H2S補充可逆轉SaO2水平并改善組織缺氧。SaO2水平降低與肺損傷有關,但與CSE缺乏小鼠肺部的氣道阻力和血液灌注無關。內源性H2S參與肺組織中促氧化劑和抗氧化劑之間的生理平衡,從而保護肺免受氧化應激和炎癥反應。該研究闡明了H2S作為缺氧治療劑的作用。
圖1、降低的H2S水平有助于降低Cse-/-小鼠的SaO2和組織缺氧。WT和Cse-/-小鼠用鹽水或GYY4137(50mg/kg)給藥。注射后二十四小時,將小鼠麻醉并測量SaO2水平。(A),血氧飽和2水平在WT和Cse的-/-小鼠用鹽水或GYY4137治療。(B),WT和Cse-/-小鼠心臟、肺和腎臟中Hypoxyprobe信號的代表性圖像,使用鹽水或GYY4137給藥。
圖2、H2S缺乏不影響肺氣道阻力。WT和Cse-/-小鼠用鹽水或GYY4137(50mg/kg)給藥。24小時后,將小鼠麻醉,然后使用AniRes2005肺功能分析儀分析肺吸氣阻力(Ri)(A)、呼氣阻力(Re)(B)、和動態合規系統(C)、和采用AniRes2005肺功能分析系統進行分析。
圖3、肺血流量增加不影響SaO2和腎臟和心臟組織缺氧。(A),肺血流的代表性LDI分析。(B),小鼠肺血流量的累積數據。(C),用鹽水或匹那地爾處理的WT和Cse-/-小鼠中的SaO2水平。(D),WT和Cse-/-小鼠心臟和腎臟中Hypoxyprobe信號的代表性圖像,用鹽水或匹那地爾處理。
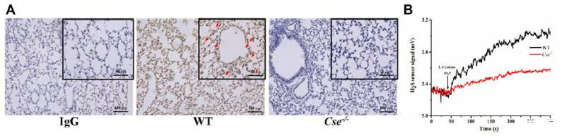
圖4、WT和Cse-/-小鼠肺組織中的CSE表達定位和H2S產生。(A),通過免疫細胞化學分析WT和Cse-/-小鼠肺組織中的CSE表達。WT和Cse-/-小鼠肺組織中CSE表達的代表性圖像。箭頭表示CSE陽性染色。(B),WT和Cse-/-小鼠肺組織中H2S的產生率。黑色痕跡,WT小鼠肺組織勻漿中H2S產生的代表性痕跡。紅色痕跡,代表痕跡Cse-/-小鼠肺組織勻漿中的H2S產量。
圖5、GYY4137治療可改善Cse-/-小鼠肺組織的病理改變并抑制炎癥。WT和Cse-/-小鼠用鹽水、GYY4137(50mg/kg)或吡那地爾(2.8μmol/kg)給藥。注射后24小時處死小鼠,然后收集肺組織進行形態學分析和促炎細胞因子的測定。(A)WT和Cse-/-小鼠肺組織H&E染色的代表性圖像,用鹽水或GYY4137處理。(B)、WT和Cse肺損傷評分的累積數據-/-用生理鹽水或GYY4137處理的小鼠。(C)、用鹽水或GYY4137處理的WT和Cse-/-小鼠肺組織中的IL-8、IL-1β和TNF-α水平。(D)WT和Cse-/-小鼠肺組織中的IL-8、IL-1β和TNF-α水平,生理鹽水或匹那地爾處理。
結論與展望
氣體遞質H2S參與各種生理和病理生理過程。有研究證據表明H2S在炎癥反應、氧化應激、內質網和線粒體生物中起著關鍵作用等。氣體遞質H2S參與各種生理和病理生理過程。本論文研究了H2S在肺中的生理功能。通過使用Unisense PA 2000放大器耦合的小型化H2S微呼吸傳感器,確定了肺組織中H 2 S產生的實時動力學。H2S供體GYY4137處理增加SaO2并改善心臟和腎臟組織的缺氧狀態。在Cse-/-小鼠中發現了肺損傷在H2S天然合成酶胱硫醚-γ-裂解酶(CSE)遺傳缺陷的小鼠模型中,研究發現與野生型小鼠相比,動脈血氧飽和度(SaO2)降低。研究表明,內源性H2S是維持正常SaO2的重要因素。通過預防肺部氧化應激和炎癥。