熱線:021-66110810,66110819
手機:13564362870

熱線:021-66110810,66110819
手機:13564362870
Protective Effects of Hydrogen against Low-Dose Long-Term Radiation-Induced Damage to the Behavioral Performances, Hematopoietic System, Genital System, and Splenic Lymphocytes in Mice
氫對小鼠低劑量長期輻射誘導的行為表現、造血系統、生殖系統和脾淋巴細胞損傷的保護作用
來源:Oxidative Medicine and Cellular Longevity, Volume 2016, Article ID 1947819, 2016
《氧化醫學與細胞壽命》,第2016卷,文章編號:1947819,2016年
摘要:
論文摘要指出分子氫(H2)在緩解急性輻射損傷中起重要作用,本研究調查了H2對低劑量長期輻射(LDLTR)誘導的改變的影響。小鼠接受不同劑量(0.1 Gy、0.5 Gy、1.0 Gy和2.0 Gy)的全身伽馬輻射,持續8周,每周兩次。輻射后,進行體重觀察、強迫游泳測試、開放場地測試、染色體畸變分析、外周血細胞參數分析、精子異常檢測、淋巴細胞轉化測試和組織病理學研究。結果顯示,H2能減輕LDLTR誘導的損害,表明H2對小鼠多系統具有保護作用,可能作為輻射防護劑。
研究目的:
研究目的是評估氫對低劑量長期輻射引起的小鼠多系統損傷的保護效果,包括行為表現、造血系統、生殖系統和免疫系統,以填補H2在LDLTR保護方面的研究空白,并為開發新型輻射防護劑提供依據。
研究思路:
研究思路采用實驗性設計,將80只BALB/c雄性小鼠隨機分組,包括不同輻射劑量組(0.1 Gy、0.5 Gy、1.0 Gy、2.0 Gy)和假輻射對照組,每組再分為氫處理組和非氫處理組。小鼠通過飲用氫富水進行干預,接受8周分次輻射。輻射結束后,進行行為測試(開放場地測試和強迫游泳測試)、血液學分析、染色體畸變檢測、精子形態評估、淋巴細胞轉化測試和組織病理學檢查。數據通過雙因素方差分析統計,以評估H2的保護作用及與輻射的交互效應。
測量的數據及研究意義:
1 體重變化:測量小鼠體重隨時間的變化,研究意義是評估整體健康狀況和應激反應,體重異常增加可能反映輻射誘導的代謝紊亂,H2處理能正常化體重增長。數據來自圖1。

2 行為表現:包括開放場地測試(測量總移動距離、平均速度、中央區域停留時間和進入次數)和強迫游泳測試(測量不動時間),研究意義是評估焦慮和抑郁水平,輻射增加了焦慮樣行為,H2能減輕這些行為異常。數據來自圖2和圖3。


3 染色體畸變:分析骨髓細胞染色體異常類型和頻率,研究意義是直接評估基因毒性損傷,H2能降低輻射誘導的畸變率,表明其抗氧化和DNA保護作用。數據來自圖5和表1。


4 外周血細胞參數:包括白細胞、淋巴細胞和中性粒細胞計數,研究意義是反映造血系統功能,輻射在高劑量(2 Gy)下抑制血細胞生成,H2能改善這種抑制。數據來自圖6。

5 精子異常:評估精子形態異常百分比和類型,研究意義是檢測生殖系統損傷,輻射增加精子異常,H2能減輕這種損害。數據來自圖7和圖8。


6 淋巴細胞轉化測試:測量脾淋巴細胞增殖能力,研究意義是評估免疫細胞活性,低劑量輻射可能刺激細胞活性,而高劑量抑制,H2能普遍改善細胞活力。數據來自圖10。

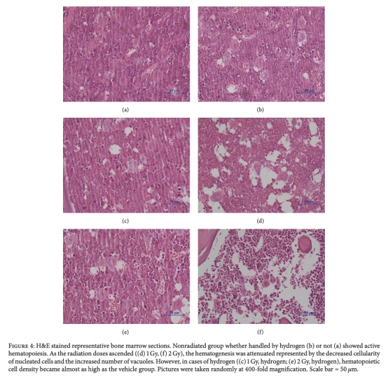
7 組織病理學:檢查睪丸和骨髓組織的微觀結構變化,研究意義是直觀顯示組織損傷和修復,輻射導致組織退化,H2能減輕病理改變。數據來自圖4和圖9。


結論:
1 H2能全面保護小鼠免受低劑量長期輻射誘導的多系統損傷,包括行為、造血、生殖和免疫系統。
2 H2通過減輕焦慮和抑郁樣行為、降低染色體畸變、改善血細胞計數、減少精子異常和增強淋巴細胞活性,顯示出輻射防護作用。
3 H2的保護機制可能與其選擇性清除活性氧(如·OH和ONOO-)有關,但具體路徑需進一步研究。
使用丹麥Unisense電極測量數據的研究意義:
丹麥Unisense電極(針型H2傳感器)用于測量氫富水中的氫氣濃度,確保濃度維持在至少0.1 mM。研究意義在于保證了實驗條件的準確性和可控性,驗證了氫處理的有效性。通過實時監測H2濃度,排除了因濃度波動導致的實驗偏差,使H2的保護作用結果更可靠。具體來說,該電極的使用支持了H2干預的標準化,為后續機制研究(如抗氧化效應)提供了基礎,并增強了實驗的可重復性。在輻射防護研究中,這種精確測量有助于區分H2特異性效應與其他混雜因素,提升了數據的科學價值。