熱線:021-66110810,66110819
手機:13564362870

熱線:021-66110810,66110819
手機:13564362870
Effects of dissolved oxygen on microbial community of single-stage autotrophic nitrogen removal system treating simulating mature landfill leachate
溶解氧對處理模擬成熟垃圾滲濾液的單級自養脫氮系統微生物群落的影響
來源:Bioresource Technology, Volume 218, 2016, Pages 962-968
《生物資源技術》,第218卷,2016年,第962-968頁
摘要
摘要指出,本研究調查了四個相同的序批式生物膜反應器(SBBR)在30°C下處理含2000 mg/L氨氮的模擬成熟垃圾滲濾液的自養脫氮性能。主要目的是評估溶解氧(DO)對單級厭氧氨氧化和部分亞硝化(SNAP)系統性能和微生物群落的影響。在施加負載為0.5 kg N m?3 d?1時,最佳DO濃度為2.7 mg/L下,平均總氮去除效率(TNRE)長期高于90%。微電極測量的剖面顯示了生物膜內部的微環境。16S rRNA擴增子焦磷酸測序和變性梯度凝膠電泳(DGGE)用于分析不同DO濃度和反應器內部不同位置的微生物變化。
研究目的
研究目的是評估溶解氧(DO)對單級自養脫氮系統(結合厭氧氨氧化和部分亞硝化,即SNAP)的性能和微生物群落的影響,以確定最佳DO條件,實現高效氮去除,同時分析微生物群落的響應。
研究思路
研究思路包括設置四個平行的序批式生物膜反應器(SBBR),在相同操作條件下運行,但控制DO濃度分別為1.0、2.0、2.7和3.5 mg/L。系統處理模擬成熟垃圾滲濾液,監測氮去除性能(如總氮、氨氮、亞硝酸鹽和硝酸鹽濃度)。使用微電極技術測量生物膜內部的氧化還原電位(ORP)剖面,以揭示微環境。同時,采集污泥樣品進行DNA提取,應用DGGE和16S rRNA測序分析微生物群落結構的變化,以關聯DO條件與微生物動態。
測量的數據及研究意義
1. 數據來自圖1:測量了不同DO濃度(1.0、2.0、2.7和3.5 mg/L)下的總氮去除效率(TNRE)和氨氮去除效率(ARE)。研究意義是顯示DO對氮去除效率的顯著影響,最佳DO為2.7 mg/L時TNRE超過90%,幫助識別最優操作條件,避免DO過低或過高導致的效率下降。

2. 數據來自圖2:測量了一個操作周期內氮濃度(氨氮、亞硝酸鹽、硝酸鹽)的動態變化。研究意義是揭示SNAP系統的瞬時去除過程,顯示部分亞硝化和厭氧氨氧化的協同作用,強調DO控制對維持反應平衡的重要性。

3. 數據來自圖3:使用微電極測量了生物膜內部的ORP剖面,顯示不同DO濃度下的氧化還原梯度。研究意義是直接可視化生物膜微環境,證實外部好氧區和內部厭氧區的存在,支持氨氧化細菌(AOB)和厭氧氨氧化細菌(AAOB)的共存,為優化DO提供機理依據。

4. 數據來自圖4:通過16S rRNA測序分析了微生物群落在門水平和種水平的組成,如Proteobacteria、Xanthomonas campestris和Nitrosomonas europaea的相對豐度。研究意義是顯示DO如何影響優勢菌群比例,例如在DO為2.7 mg/L時AOB與AAOB比例約為4:7,揭示微生物群落結構與性能的關聯,并解釋難降解有機物去除的可能機制。

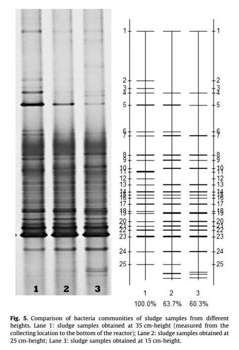
5. 數據來自圖5:通過DGGE分析了反應器不同高度(15cm、25cm、35cm)的微生物群落圖譜。研究意義是顯示盡管優勢菌群相似,但存在小范圍差異,表明DO梯度導致微環境變化,影響微生物分布,強調反應器內部均勻性對系統穩定性的重要性。

結論
1. 最佳DO濃度為2.7 mg/L時,系統能長期維持總氮去除效率高于90%,表明DO控制是單級自養脫氮系統高效運行的關鍵。
2. 微電極測量證實生物膜內部存在好氧和厭氧微環境,支持AOB和AAOB的協同作用,實現部分亞硝化和厭氧氨氧化。
3. 微生物分析顯示AOB(如Nitrosomonas europaea)與AAOB(如Xanthomonas campestris)的比例約為4:7,接近理論最優值,確保氮去除途徑的平衡。
4. DO升高會導致AAOB相對豐度下降,而AOB增加,影響氮去除效率,強調需避免DO過高引起的硝酸鹽積累。
5. 系統對難降解有機物有一定去除能力,可能與Comamonas sp.和Ferruginibacter alkalilentus等菌群相關,擴展了SNAP系統的應用潛力。
使用丹麥Unisense電極測量數據的研究意義
使用丹麥Unisense微電極測量氧化還原電位(ORP)剖面,提供了高分辨率的生物膜內部微環境數據。研究意義在于,這些測量直接揭示了DO梯度如何形成外部好氧區和內部厭氧區,支持氨氧化細菌(AOB)在好氧層進行部分亞硝化,而厭氧氨氧化細菌(AAOB)在厭氧層完成脫氮。例如,在DO為2.7 mg/L時,ORP從生物膜表面的-2.8 mV降至4mm深處的-166.8 mV,創建了適合AAOB的厭氧條件,這幫助驗證了單級反應器中微生物分層的可行性。這種實時微環境數據優化了DO控制策略,避免了因DO不當導致的抑制問題,提升了系統穩定性和效率,為全規模應用提供了理論基礎。