熱線:021-66110810,66110819
手機:13564362870

熱線:021-66110810,66110819
手機:13564362870
Sulforaphane prevents maleic acid-induced nephropathy by modulating renal hemodynamics, mitochondrial bioenergetics and oxidative stress
蘿卜硫素通過調節腎臟血流動力學、線粒體生物能量學和氧化應激預防馬尿酸誘導的腎病
來源:Food and Chemical Toxicology, Volume 115, 2018, Pages 185-197
《食品與化學毒理學》,第115卷,2018年,頁碼185-197
摘要
這篇論文的摘要指出,馬尿酸(MA)誘導的腎病以蛋白尿、糖尿、磷酸鹽尿以及尿酸化和濃縮缺陷為特征。蘿卜硫素(SF)是一種間接抗氧化劑,具有腎臟保護作用。本研究旨在測試SF預處理對MA誘導腎病的保護作用。結果顯示,MA誘導了蛋白尿、尿N-乙酰-β-D-氨基葡萄糖苷酶排泄增加、血漿谷胱甘肽過氧化物酶活性降低、腎血流量減少以及腎皮質氧合和灌注下降。這些損傷與更高的氧化損傷標志物水平和腎皮質超氧陰離子產生加劇相關。此外,MA損害了與復合物I相關的線粒體生物能量學、線粒體膜電位和呼吸控制指數,并增加了線粒體過氧化氫的產生。SF預處理防止了上述所有改變。結論是,SF對MA誘導腎病的保護作用與保持線粒體生物能量學、改善氧化應激以及改善腎臟血流動力學和腎皮質氧合相關。
研究目的
研究目的是評估蘿卜硫素(SF)預處理是否能預防馬尿酸(MA)誘導的腎病,并探討其保護機制是否涉及調節腎臟血流動力學、線粒體功能和氧化應激。
研究思路
研究思路包括將雄性Wistar大鼠分為四組:對照組、MA組(腹腔注射400 mg/kg MA)、SF+MA組(預先4天每天腹腔注射1 mg/kg SF,第四天加注MA)和SF組(僅注射SF)。在MA注射24小時后,評估腎功能指標(如蛋白尿、尿NAG活性)、腎臟血流動力學參數(平均動脈壓、腎血流量、腎血管阻力等)、腎皮質氧合和灌注(使用丹麥Unisense電極)、氧化應激標志物(蛋白羰基、硫醇基、MDA、4-HNE)、超氧陰離子產生、線粒體生物能量學參數(呼吸速率、膜電位、過氧化氫產生)以及線粒體超微結構。通過組織學分析和蛋白質印跡等方法驗證SF的保護效應。
測量的數據及研究意義
1. 腎功能和腎小管損傷標志物:數據來自圖2和表1。研究意義是MA顯著增加蛋白尿、尿NAG活性和腎損傷分子-1(KIM-1)表達,并降低血漿GPx活性,表明MA引起腎小管損傷和氧化應激;SF預處理有效防止這些變化,證明SF能保護腎功能和減輕腎小管損傷。


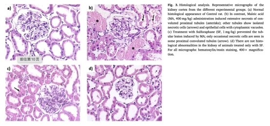
2. 組織學分析:數據來自圖3。研究意義是MA導致腎皮質近端小管廣泛壞死,而SF預處理顯著減輕組織學損傷,證實SF對腎臟結構的保護作用。

3. 腎臟血流動力學參數:數據來自圖4和表1。研究意義是MA引起腎血管收縮(腎血流量減少、腎血管阻力增加)和濾過分數增加,但腎小球濾過率維持;SF預處理改善這些參數,表明SF通過調節血流動力學保護腎臟灌注。

4. 腎皮質氧合(pO2)和灌注:數據來自圖5。研究意義是MA降低腎皮質氧分壓和血流灌注,并減少尿亞硝酸鹽/硝酸鹽排泄;SF預處理維持這些參數,表明SF改善腎皮質氧合和微循環,可能通過影響一氧化氮通路。

5. 氧化應激標志物:數據來自圖6。研究意義是MA增加蛋白羰基、MDA和4-HNE水平,并減少硫醇基;SF預處理降低這些氧化損傷標志物,證明SF通過增強抗氧化能力減輕氧化應激。

6. Nrf2和抗氧化酶表達:數據來自圖7。研究意義是SF增加Nrf2、血紅素加氧酶-1(HO-1)和谷氨酸-半胱氨酸連接酶催化亞基(GCLc)的表達,表明SF激活Nrf2通路,上調抗氧化防御。

7. 超氧陰離子(O2??)產生:數據來自圖8。研究意義是MA增加NADPH氧化酶和一氧化氮合酶相關的O2??產生;SF預處理降低NADPH氧化酶來源的O2??,但對一氧化氮合酶來源的無效,提示SF特異性抑制NADPH氧化酶。

8. 線粒體生物能量學:數據來自圖9和表2。研究意義是MA損害復合物I相關的呼吸速率(狀態3)、呼吸控制指數和線粒體膜電位;SF預處理保護這些參數,表明SF維持線粒體能量代謝和功能。


9. 線粒體過氧化氫(H2O2)產生:數據來自圖10。研究意義是MA增加線粒體在狀態3和狀態4的H2O2產生;SF預處理減少H2O2生成,證明SF降低線粒體氧化應激。

10. 線粒體抗氧化酶活性:數據來自圖11。研究意義是MA降低線粒體超氧化物歧化酶、GPx和谷胱甘肽-S-轉移酶活性;SF預處理部分恢復這些活性,增強線粒體抗氧化防御。

11. 線粒體超微結構:數據來自圖12。研究意義是MA導致線粒體形態異常(球形化、嵴斷裂);SF預處理保持線粒體正常結構和面積,表明SF保護線粒體完整性。

結論
論文得出結論,蘿卜硫素(SF)預處理通過多種機制有效預防馬尿酸(MA)誘導的腎病:1)改善腎臟血流動力學,減輕腎血管收縮和維持腎皮質氧合;2)增強抗氧化防御,通過Nrf2通路上調HO-1和GCLc等酶,減少氧化損傷;3)保護線粒體功能,維持復合物I相關的呼吸速率、膜電位和結構完整性,并降低線粒體氧化應激。這些發現表明SF是一種有潛力的腎臟保護劑,尤其針對涉及氧化應激和線粒體功能障礙的急性腎損傷模型。
使用丹麥Unisense電極測量數據的研究意義
使用丹麥Unisense電極測量的腎皮質氧分壓(pO2)數據具有重要研究意義。該電極是一種Clark型氧電極,能直接、實時測量組織深部的氧氣濃度,提供高空間分辨率(本研究在1.5mm和2mm深度對應腎皮質)。數據表明MA顯著降低腎皮質pO2(圖5a),反映局部缺氧,這與腎血流量減少和氧化應激加劇相關。SF預處理維持pO2接近正常水平,證明SF能改善腎臟氧合狀態。這種測量方法的優勢在于其直接性和準確性,避免了間接推算的誤差,從而可靠地證實SF對腎臟微循環和氧氣供應的保護作用。此外,pO2數據與血流動力學參數(如腎血流量)和氧化應激標志物(如超氧陰離子)相互印證,強化了SF通過改善血流和減少氧化應激來緩解缺氧的機制。因此,Unisense電極的數據不僅量化了腎損傷中的缺氧程度,還為SF的腎臟保護效應提供了關鍵證據,支持其在臨床應用中可能改善組織氧合的潛力。