熱線:021-66110810,66110819
手機:13564362870

熱線:021-66110810,66110819
手機:13564362870
Genomic integrity and mitochondrial metabolism defects in Warsaw syndrome cells: a comparison with Fanconi anemia
華沙綜合征細胞的基因組完整性和線粒體代謝缺陷:與 Fanconi 貧血的比較
來源:University of Trieste, via Dell'Istria,
1. 摘要核心內容
華沙斷裂綜合征(WABS)由 DDX11基因 雙等位基因突變引起,該基因編碼一種依賴ATP的DNA解旋酶。本研究通過分析攜帶 p.Leu836Pro 錯義突變和 p.Lys303Glufs22* 移碼突變的WABS患者細胞,發現:
DNA解旋功能喪失:p.Leu836Pro突變蛋白滯留于胞質,無法解旋DNA(保留DNA結合能力)。
基因組不穩定性:細胞對絲裂霉素C(MMC)敏感,G2/M期阻滯增加,染色體凝聚力缺陷(鐵路染色體)。
線粒體代謝缺陷:氧化磷酸化(OXPHOS)功能障礙,能量代謝失衡,乳酸發酵增強。
與范可尼貧血(FA)對比顯示,WABS雖無線粒體結構異常,但存在獨特的代謝缺陷。
2. 研究目的
解析DDX11 p.Leu836Pro突變 的致病機制(蛋白定位、解旋活性)。
探究WABS細胞的 基因組不穩定性(MMC敏感性、染色體凝聚力)。
首次揭示WABS的 線粒體代謝缺陷,并與FA進行對比。
3. 研究思路
突變蛋白功能驗證:
亞細胞定位(核/質分離WB,Figure 1b)
重組蛋白表達(Figure 1c)→ DNA結合(EMSA)與解旋活性(FRET檢測,Figure 1d)
細胞表型分析:
染色體凝聚力(CREST免疫熒光,Figure 2a-b)
MMC/DEB敏感性(細胞周期、染色體斷裂)
線粒體功能評估:
結構(電鏡,Figure S3)
代謝(耗氧率、ATP合成、復合體活性,Figure 3)
4. 測量數據及研究意義
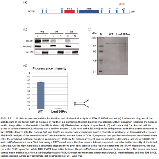
(1) 突變蛋白功能(Figure 1)

亞細胞定位(圖1b):
p.Leu836Pro突變蛋白主要滯留胞質(85-91% vs WT 37%在核內)→ 意義:突變破壞核定位信號,影響DNA修復功能。
解旋活性(圖1d):
重組突變蛋白喪失DNA解旋能力(FRET檢測),保留DNA結合能力→ 意義:錯義突變為功能喪失型。
(2) 基因組不穩定性(Figure 2)

染色體凝聚力缺陷(圖2a-b):
WABS細胞顯示 鐵路染色體(71-85% vs 對照35%)→ 意義:DDX11突變導致姐妹染色單體凝聚異常。
MMC敏感性(圖2c):
MMC處理誘導G2/M期阻滯(類似FA),但對DEB不敏感→ 意義:WABS與FA的DNA損傷響應通路部分重疊但存在差異。
(3) 線粒體代謝缺陷(Figure 3)


耗氧率(OCR)與ATP合成(圖3a-b):
使用 丹麥Unisense電極 檢測顯示:
WABS細胞在丙酮酸/蘋果酸 和 琥珀酸刺激下OCR均降低(FA僅前者異常)
ATP合成同步減少→ 意義:OXPHOS廣泛受損,區別于FA。
呼吸鏈復合體活性(圖3c-d):
電子傳遞(Complex I-III)部分受損(圖3c)
Complex IV活性顯著降低(圖3d,FA無此現象)→ 意義:WABS存在獨特呼吸鏈缺陷。
能量代謝失衡(圖3e-f):
ATP/AMP比值降低(圖3e)
LDH活性升高(圖3f)→ 意義:細胞轉向糖酵解補償能量危機。
(4) 線粒體結構
電鏡顯示WABS線粒體嵴和基質正常(區別于FA的結構異常)→ 意義:代謝缺陷獨立于形態變化。
5. 關鍵結論
p.Leu836Pro為致病突變:破壞核定位,喪失解旋活性但保留DNA結合能力。
WABS細胞特征:
染色體凝聚力缺陷(鐵路染色體)
MMC特異性敏感(非DEB)
新型線粒體表型:廣泛OXPHOS障礙(含Complex IV缺陷),能量危機驅動糖酵解。
與FA的異同:
同:MMC敏感性、G2/M阻滯、能量代謝失衡。
異:WABS無線粒體結構異常,但Complex IV缺陷更顯著;對DEB不敏感。
6. 丹麥Unisense電極測量數據的詳細解讀
數據來源(Methods 2.9 & Figure 3a-b)
技術原理:
Unisense微氧電極通過 電流法 實時監測封閉反應室中溶解氧濃度變化,直接量化線粒體耗氧率(OCR)。
實驗設計:
細胞透化后,分別用 丙酮酸/蘋果酸(激活Complex I)或 琥珀酸(激活Complex II)刺激呼吸鏈。
同步檢測OCR與ATP合成率(熒光素酶法),計算OXPHOS效率。
研究意義
揭示WABS特異性代謝缺陷:
Unisense數據首次顯示WABS對 兩種底物(丙酮酸/蘋果酸 和 琥珀酸)均響應低下(圖3a),表明呼吸鏈全面受損(Complex I-IV均受累)。
區別于FA:FA僅對丙酮酸/蘋果酸敏感(提示Complex I特異性缺陷)。
量化能量代謝失衡:
OCR降低與ATP合成減少直接相關(圖3b),證明 OXPHOS脫耦聯 是能量危機的核心。
為后續LDH活性升高(圖3f)和ATP/AMP比值降低(圖3e)提供機制解釋。
技術優勢:
高靈敏度:捕捉細微OCR變化(如Complex IV部分缺陷)。
動態監測:優于終點法,揭示底物特異性響應差異。
功能關聯:聯合ATP檢測,明確代謝缺陷的生理后果(能量危機)。
對疾病機制的啟示
Unisense數據證明 線粒體功能障礙是WABS獨立于基因組不穩定的新表型,提示DDX11可能通過調控核糖體RNA合成(影響呼吸鏈復合體表達)或直接參與線粒體功能(類似XPD解旋酶),為靶向能量代謝的治療提供依據。